1

„Die Isolationsabteilung im Künzelsauer Krankenhaus ist weiterhin auf Stand-by“

Beim Besuch von Minister Manne Lucha in Hohenlohe hat die Leiterin des Gesundheitsamtes im Landratsamt Hohenlohekreis, Dr. Antje Haack-Erdmann, über die aktuelle Situation im Kreis gesprochen. Anschließend nutzte GSCHWÄTZ-Videoreporter Dr. Felix Kribus die Gunst der Stunde und sprach mit ihr über die Sorge vor einer zweiten Welle der Corona-Pandemie.

„Wir haben Angst vor einer zweiten Welle“

Dr. Haack-Erdmann erklärte, „wir haben Angst vor einer zweiten Welle, weil wir natürlich nicht wissen, was auf uns zukommt“. Man hätte jetzt zwar Erfahrungen und auch medizinische Erkenntnisse gesammelt, es sei aber nicht klar, „ob uns diese jetzt helfen bei einem neuen Ausbruch, wenn eine zweite Welle tatsächlich kommt“.

Appell an die Eigenverantwortung der Leute

Hinsichtlich der Reiserückkehrer ist die Leiterin des Gesundheitsamtes überzeugt, dass man auf diese „besonders Acht geben muss“. Man müsse sich sicher sein, „dass die Menschen, die da wiederkommen, sich der Gefahr bewusst sind, dass sie sich auch dann schützen und auch, wenn sie aus Risikogebieten kommen, testen lassen und sich danach verhalten“. Deshalb appellierte sie an die Eigenverantwortung der Leute.

Krankenzimmer sollen zu Büroräumen umgebaut werden

Dr. Haack-Erdmann erläuterte die Pläne für das stillgelegte Krankenhaus, in das eine sogenannte Taskforce einziehen soll. Die Krankenzimmer sollen zu Büroräumen umgebaut werden, in denen dann „zwischen zehn und 40 Personen abhängig von der epidemiologischen Lage gleichzeitig arbeiten können“. Gleichzeitig sei die so genannte Isolationsabteilung weiterhin auf Stand-by, „sodass diese, wenn es wieder erforderlich ist, wieder in Betrieb genommen werden kann“.

Video: Dr. Felix Kribus




Ist es Corona oder nicht?

Corona fordert schnelle Lösungen, um Erkrankten effizient helfen zu können. Eine Früherkennung kann insbesondere bei einem potenziell schweren Verlauf Leben retten. Genau hier setzt laut einer Pressemitteilung die Studentin Lena Kopp an. Sie studiert Elektrotechnik am Campus Künzelsau der Hochschule Heilbronn, Reinhold-Würth-Hochschule und entwickelte eine Röntgen-Software zur Früherkennung einer Corona-Infektion.

Mit ihrer Möglichkeit, Röntgenbilder zur Covid-19-Diagnose einzusetzen, geht sie sogar einen Schritt weiter: „Mir ist es besonders wichtig mit meiner Arbeit etwas zu tun, was Menschen in ärmeren Ländern in dieser schwierigen Zeit von Nutzen sein kann.“ Denn üblicherweise wird bei Verdacht auf eine Infektion mit dem Virus der bekannte Nasen- und Rachenabstrich durchgeführt. Bei Verdacht auf einen schweren Verlauf wird eine Computertomographie (CT) angeordnet. In Entwicklungsländern stehen weder Test-Kits noch Möglichkeiten einer CT ausreichend zur Verfügung.

Weiter heißt es, dass Lena Kopp in ihrer Studienarbeit eine Röntgen-Software entwickelt hat, die zwischen einer bakteriellen- und einer viralen Lungen-Erkrankung unterscheiden kann – völlig automatisch. Ihr Beweggrund: „Da oft kein CT-Equipment zur Verfügung steht, konventionelles Röntgen jedoch inzwischen weit verbreitet ist, ist es aus meiner Sicht besonders sinnvoll die vorhandenen Möglichkeiten optimal zu nutzen und zur Unterstützung der Ärzte Röntgenbilder automatisiert auswerten zu können“.

Ansatzpunkt zur Unterscheidung der Infektionsursache

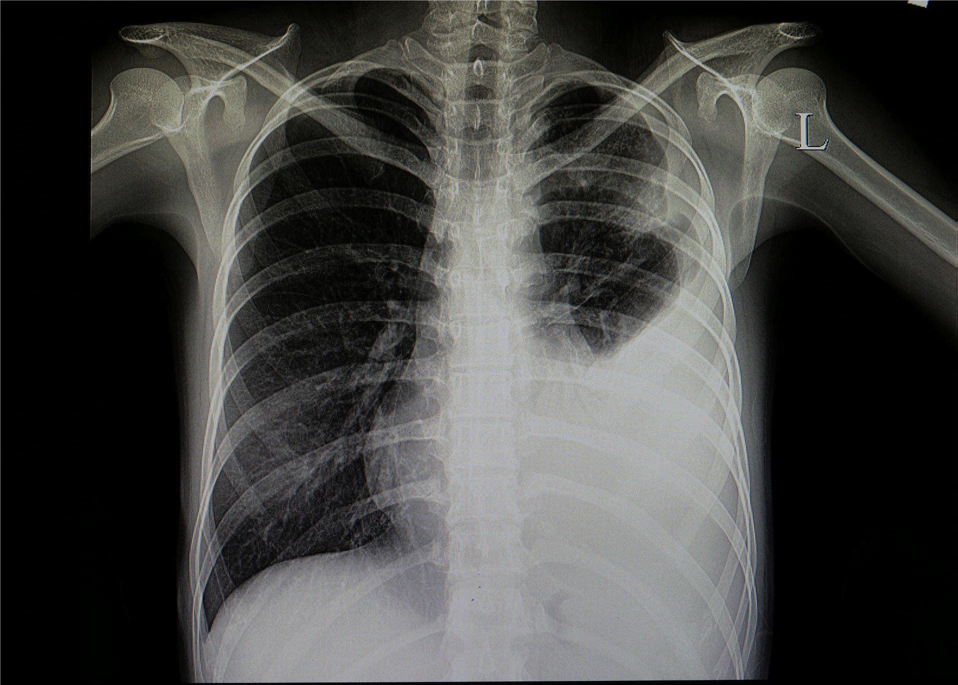
Prof. Dr. Alexander Jesser betreute gemeinsam mit seinem Mitarbeiter Roman Radtke die Studentin bei ihrer vielversprechenden Forschungsarbeit. Prof. Jesser erläutert: „Bei einer Erkrankung der Lunge ist das betroffene Gewebe meist weniger transparent für die Röntgenstrahlung und kann durch seine Form und Abgrenzung Aufschluss geben, um welche Art der Krankheit es sich handelt. Eine Covid-19-Erkrankung zeigt meist milchglasartige Veränderungen in beiden Lungenflügeln. Ist eine Erkrankung der Lunge durch eine Infektion mit Bakterien erfolgt, ist mehrheitlich nur ein Flügel der Lunge verändert. Eine gleichmäßige Ausbreitung über alle Bereiche der Lunge ist dabei also ein Hinweis auf eine Covid-19 Infektion.“

Auswertung der Röntgenbilder

Zur automatisierten Auswertung werden die Aufnahmen in einen Standard-PC eingelesen und mit einer speziellen mathematischen Operation der Kontrast erhöht – ein Vorteil bei qualitativ schlechten Aufnahmen, die mit älteren Röntgenanlagen entstehen. Die Software erstellt neben einem Falschfarbenbild, das die Auswertung vereinfachen kann, ein Binärbild, auf welchem sich bereits die Umrisse der Lunge sowie Spuren von geschädigtem Gewebe erkennen lassen. Durch einen weiteren Algorithmus werden die im Binärbild vorhandenen Kanten und Grenzen der einzelnen Bereiche ermittelt. Die Software kann durch weitere Berechnungen Flächen- und Symmetriebetrachtungen vollziehen und anhand dieser mit großer Wahrscheinlichkeit zwischen bakterieller- oder viraler Lungenentzündungen unterscheiden.

Auch der Radiologe am Universitätsspital Basel, Dr. Konrad Appelt, der beratend zur Forschungsarbeit beigetragen hat, sieht die automatisierte medizinische Auswertung von Röntgenbildern positiv: „Klar ist, dass durch diese Methode ein qualifizierter Arzt nicht ersetzen werden kann und ein einfaches Röntgenbild nicht die diagnostische Qualität eines Computertomographens aufweist, sie kann aber eine sehr sinnvolle, zusätzliche Maßnahme zur Diagnose der Covid-19 Erkrankung sein.“

Quelle: Pressemitteilung der Hochschule Heilbronn

 

Einseitige Veränderung einer Lunge, hervorgerufen durch eine bakterielle Lungenentzündung. Foto: HHN

Milchglasartige Veränderungen deuten auf eine Covid-19-Infektion hin. Foto: HHN

Falschfarbendarstellung der Lunge. Foto: HHN

 

 




Virentests verzögerten Auswertung

voDie Auswertungen der Studie des Robert-Koch-Institutes (RKI) „Corona-Monitoring lokal“, die in Kupferzell als erste deutschlandweit durchgeführt wurde (wir berichteten) sind in Kürze abgeschlossen. Das geht aus einer Pressemitteilung des Landratsamtes des Hohenlohekreises hervor.

Ursprünglich war eine Veröffentlichung im Juli geplant

 Mitte August sollen die ersten Ergebnisse der Studie „Corona-Monitoring lokal“, die das Robert Koch-Institut (RKI) vom 20. Mai bis 09. Juni 2020 in Kupferzell durchgeführt hat, der Öffentlichkeit vorgestellt werden. Der genaue Termin sowie der Ort werden rechtzeitig bekanntgegeben.

Ursprünglich hatte das RKI auf eine Veröffentlichung noch im Juli 2020 gehofft. Grund für die Verzögerung waren nach Angaben des RKI ausstehende virologische Tests, die für wissenschaftlich eindeutige Ergebnisse wichtig sind. Inzwischen liegen die Ergebnisse dieser sogenannten Neutralisationstests vor, so dass die Auswertungen laut dem Landratsamt in Kürze abgeschlossen werden können.

„Wir sind alle sehr gespannt“

„Wir sind alle sehr gespannt und erwarten mit großem Interesse die Ergebnisse“, freut sich Landrat Dr. Matthias Neth auf die Präsentation der Gesamtergebnisse im August.

Die Teilnehmer wurden bereits direkt per Post über das Ergebnis des Rachenabstriches und des Antikörpertestes informiert.

„Froh und stolz“

Auch der Kupferzeller Bürgermeister Christoph Spieles ist bereits gespannt auf die Ergebnisse der Studie: „Wir sind froh und stolz, dass wir in Kupferzell für die Studie ausgewählt wurden und mit den vielen freiwilligen Teilnehmern dabei helfen können, das Virus besser zu verstehen.“

 Erste deutschlandweite Studie

Kupferzell war der erste von vier Orten, die für die Studie Corona-Monitoring lokal ausgewählt wurden. Innerhalb von drei Wochen wurden mehr als 2.100 Bürger untersucht und befragt, im Anschluss sollten die Teilnehmer einen ausführlichen Online-Fragebogen ausfüllen. Dabei geht es darum, die Untersuchungsergebnisse mit anderen Faktoren in Verbindung bringen zu können und so belastbare Aussagen über das Covid-19-Virus treffen zu können.




Coronaalarm: Bis zu 100 Jugendliche & Studenten tummeln sich nachts am Wertwiesen beim Kocherfreibad

Der Bereich am Kocherfreibad in den Künzelsauer Wertwiesen musste in der vergangenen Woche bereits mehrfach von der Polizei kontrolliert werden. Laute Musik und Gejohle veranlassten in der Nachtruhe gestörte Bürger dazu, sich bei der Polizei zu melden. Der gesamte Bereich wurde auch am Dienstagabend, den 21. Juli 2020, überprüft. Auf dem Gelände befanden sich zirka 70 bis 100 Personen. Eine genaue Festlegung ist hier nicht möglich, da viele beim Eintreffen der Polizei das Weite suchten. Am Dienstagabend, gegen 22.50 Uhr, wurde eine laut betriebene Musikbox festgestellt, die auf Weisung der Ordnungshüter abgestellt wurde. Das geht aus einer Pressemitteilung des Polizeipräsidiums Künzelsau hervor.

Laute Musik, genervte Anwohner

Verschiedene Kleingruppen wurden angewiesen, ihre Hinterlassenschaften an Müll zu beseitigen. Im weiteren Verlauf der Nacht wurden immer wieder Personen in Kleingruppen festgestellt, welche beim Erkennen der Beamten wegrannten. Ein Zusammenhang der Treffen mit dem dortigen Biergarten konnte nicht festgestellt werden. Die Polizei Künzelsau weist ausdrücklich daraufhin, dass sie die Kontrollmaßnahmen auch in den nächsten, kommenden warmen Tagen und Nächten aufrechthält und Verstöße gegen die Stadt- und Coronaverordnungen konsequent zur Anzeige bringt. Das Revier appeliert an die Vernunft der sich dort treffenden Gruppen, die sich aus Studenten und Jugendlichen aus dem Raum Künzelsau zusammensetzt und bittet um die Einhaltung allgemeiner Regeln. Das Polizeirevier Künzelsau steht darüber hinaus bereits in engem Kontakt mit dem Ordnungsamt der Stadt Künzelsau.




„Wir bestehen auf die Aufhebung der Einschränkungen durch die Coronaverordnung“

„Wir für das Grundgesetz“ – so lautet das Motto der morgigen Demo, zu der  „QUERDENKEN795“ nach Crailsheim einlädt. Die Liste der Redner lässt aufhorchen.

Die Versammlung, die von 15.30 bis 19 Uhr am Volksfestplatz Crailsheim stattfindet, ist laut dem Veranstalter „Querdenken795“ mit 200 Teilnehmern angemeldet. Als Ansprechpartner wird auf der Homepage von Querdenken Thomas Baumgarten aus Kirchberg an der Jagst genannt. Die Ziele von Querdenken sind laut der Internetseite https://querdenken-795.de/:

Wir bestehen auf die ersten 20 Artikel unserer Verfassung, insbesondere auf die Aufhebung der Einschränkungen durch die Corona-Verordnung von:

  • Artikel 1: Menschenwürde – Menschenrechte –  Rechtsverbindlichkeit der Grundrechte
  • Artikel 2: Persönliche Freiheitsrechte
  • Artikel 4: Glaubens- und Gewissensfreiheit
  • Artikel 5: Freiheit der Meinung, Kunst und Wissenschaft
  • Artikel 7: Schulwesen
  • Artikel 8: Versammlungsfreiheit
  • Artikel 11: Freizügigkeit
  • Artikel 12: Berufsfreiheit
  • Artikel 13: Unverletzlichkeit der Wohnung

Wir sind überparteilich und schließen keine Meinung aus – nach Wiederherstellung des Grundgesetzes sind dafür wieder alle demokratischen Mittel vorhanden.

Sie fordern:

  • alle Parteien auf, Ihr Parteiprogramm auf die neue Lage anzupassen und den Bürgern darzustellen, wie und unter welchen Lebensumständen in der Sonderlage Pandemie zu rechnen ist.
  • Neuwahlen im Oktober 2020

Die Versammlungen dienen ausschließlich der Erreichung der oben genannten Ziele.“

Die angekündigte Großdemo in Crailsheim soll ein „Fest für Friede und Freiheit“ sein. Diverse Redner auch aus dem pädagogischen Bereich haben sich angekündigt, unter anderem

Dr. Tobias Loose von „Eltern stehen auf BW“ und die Lehrerin Julia Stier von Querdenken795. Moderieren wird die Veranstaltung Nana Lifestyler. Musik kommt vom Klangstadel.

Flyer von Querdenken zur Veranstaltung in Crailsheim. Foto: GSCHWÄTZ

 




Applaus, Applaus

Sie waren die „Heldinnen und Helden des Alltags“ während der Hochphase der Corona-Pandemie. Sie hielten den „Laden am Laufen“ und wurden dafür abends auf den Balkonen der Republik mit Applaus bedacht – die Beschäftigten in den sozialen Dienstleistungsberufen, vor allem in der Kranken- und Altenpflege. Sie galten plötzlich als systemrelevant und schnell war sich die Politik einig, dass den ebenso unverzichtbaren wie unterbezahlten Pflegenden mehr Anerkennung in Form von höherer Bezahlung zuteil werden soll.

Einmalige Sonderleistung von 1.000 Euro

Diese Forderungen sind mittlerweile ebenso wieder verklungen wie der allabendliche Applaus. Von höheren Löhnen und besseren Arbeitsbedingungen spricht kaum einer mehr. Immerhin hat die Bundesregierung im „Zweiten Gesetz zum Schutz der Bevölkerung bei einer epidemischen Lage von nationaler Tragweite“ (https://www.bundesgesundheitsministerium.de/covid-19-bevoelkerungsschutz-2.html) vom 19. Mai 2020 „mehr finanzielle Anerkennung für Personal in Pflegeeinrichtungen und Pflegediensten beschlossen“.

Nur für Altenpfleger, nicht  für Pflegekräfte im Krankenhaus

In dem Gesetz heißt es: „Alle Beschäftigten in der Altenpflege erhalten im Jahr 2020 einen gestaffelten Anspruch auf eine einmalige Sonderleistung (Corona-Prämie) in Höhe von bis zu 1.000 Euro. Die höchste Prämie erhalten Vollzeitbeschäftigte in der direkten Pflege und Betreuung“. Auch Auszubildende, Freiwilligendienstleistende, Helfer im freiwilligen sozialen Jahr und Leiharbeiter sowie Mitarbeiter in Servicegesellschaften sollen eine Prämie erhalten. Außerdem könnten die Bundesländer und Arbeitgeber die Prämie „bis zur Höhe der steuer- und sozialversicherungsabgabenfreien Summe von 1.500 Euro aufstocken“.

Dieser sogenannte Pflegebonus gilt allerdings nur für die Altenpflege. Pflegekräfte im Krankenhaus erhalten keine Prämie, obwohl auch sie seit Beginn der Corona-Krise an vorderster Krankenbetten-Front kämpfen und mit das größte Risiko einer eigenen Infektion tragen. Dazu schreibt das Bundesgesundheitsministerium unter https://www.bundesgesundheitsministerium.de/pflegebonus.html : „Dabei wurde auch berücksichtigt, dass die Entlohnung in der Altenpflege aktuell noch nicht so hoch ist wie zum Beispiel die Entlohnung von Pflegekräften in Krankenhäusern“. Außerdem könnten auch für andere Berufsgruppen im Gesundheitsweise die jeweiligen Arbeitgeber und ihre Verbände Boni vereinbaren.

 




„Die Art und Weise, wie Covid-19 das Gehirn attackiert, haben wir noch nie gesehen“

Nich nur ein Angriff auf das Lungensystem, auch das Gehirn kann das Virus Covid-19 angreifen. Das geht aus einem aktuellen Artikel auf der Nachrichtenseite merkur.de hervor.

Fast jeder dritte Covid-Patient hatte eine etnzündliche Nervenkrankheit

Ein Forscherteam um Dr. Michael Zandi habe mehr als 40 Patienten untersucht, die das Virus hatten und dabei bei 12 – also fast jedem dritten – eine akute demyelinisierende Enzyphalomyelitis (ADEM) diagnostiziert.  Das ist eine entzündliche Krankheit, die zur Zerstörung des zentralen Nervensyszems führt. „Die Art und Weise, wie Covid-19 das Gehirn attackiert, haben wir bei anderen Viren noch nie zuvor gesehen“, wird Zandi in dem Artikel zitiert.  Besonders ungewöhnlich seien demnach die massiven Hirnschädigungen, die selbst bei PAtienten mit einer leichten Covid-Symptomatik auftreten.

Kann Lähmungen hervorrufen

Acht Patienten litten unter der Diagnose Guillain-Barré-Syndrom. Hierbei handelt es sich um eine entzündliche Krankheit der Nerven, die Lähmungen hervorruft. Auch im Kochertal gibt es mindestens einen solchen Fall, über den kürzlich eine Rehaklinik öffentlich berichtet hatte. Der Mann wollte jedoch anonym bleiben.Er kann heute wieder stehen und gehen, saß aber nach seiner Covid-Erkrankung erst einmal im Rollstuhl.

„Bei einigen wird eine langfristige Behinderung zurückbleiben, andere werden sich gut erholen“

Biologisch gesehen habe ADEM, so Dr. Zandi, Ähnlichkeiten mit MS (Multiple Sklerose,  aber „sie verläuft schwerer. Bei einigen Patienten wird eine langfristige Behinderung zurückbleiben, andere werden sich gut erholen.“

Den ganzen Artikel gibt es auf https://www.merkur.de/welt/coronavirus-spaetfolgen-symptome-forschung-hirnschaeden-grossbritannien-theorie-langzeit-zr-13832837.html

 

 

 




Nach Sechstklässler gibt es weiteren Coronafall

Am Samstag, den 18. Juli 2020, ist ein weiterer positiver Befund im Hohenlohekreis bestätigt worden, der Gesundheitszustand des Mannes ist gut. Auch hier werden umgehend die Kontaktpersonen ermittelt und die häuslich Isolation verfügt. Eine Verbindung zu der bestätigen Corona-Infektion des Kindes der sechsten Klasse der Georg-Wagner-Schule besteht. Das geht aus einer Pressemitteilung des Landratsamtes des Hohenlohekreises hervor.

Verfügung von häuslicher Isolation

„Nach wie vor ist unser oberstes Ziel, die weitere Verbreitung der Infektion zu unterbrechen“, so Annemarie Flicker-Klein, stellvertretende Amtsleiterin des Gesundheitsamtes des Hohenlohekreises. „Wir werden daher auch hier alle weiteren Maßnahmen treffen und neben den unmittelbaren Kontaktpersonen auch eine Testung bei den Kolleginnen und Kollegen im Betrieb des Mannes vorsorglich veranlassen.“

„Tragen Sie konsequent die Mund-Nasen-Abdeckung“

Landrat Dr. Matthias Neth appelliert an die Bevölkerung: „Halten Sie sich weiterhin an die Abstandsempfehlungen und tragen Sie konsequent die Mund-Nasen-Bedeckung, vor allem im öffentlichen Bereich. Wir müssen gemeinsam alles dafür tun, eine erneute flächendeckende Ausbreitung zu verhindern.“

 

 




Eisenmann hebt Schulbesuchspflicht fürs kommende Schuljahr auf

Die baden-württembergische Kultusministerin Dr. Susanne Eisenmann hebt die Schulbesuchspflicht für das kommende Schuljahr auf. Das geht aus einem aktuellen Artikel auf der Internetseite http://www.news4teachers.de hervor.

Lehrergewerkschaft schlägt Alarm

Danach müssen Eltern, die ihre Kinder nicht zum Präsenzunterricht schicken möchten, dies nur formlos melden. Wie dadurch zukünftig Noten gegeben werden, zum Beispiel hinsichtlich des Schreibens von Klassenarbeiten, geht aus dem Artikel nicht hervor. Eisenmann betonte aber bei der Vorstellung ihrer Pläne am Mittwoch, den 08. Juli 2020, dass der Präsenzunterricht im Klassenzimmer die Regel sein soll. Ab September 2020 soll es dann auch wieder mit 100 Prozent Präsenzunterricht für die weiterführenden Schulen losgehen – so wie dies unlängst geschehen ist für die Grundschüler. Derzeit müssen Schüler ab Klasse fünf noch zirka 50 Prozent ihrer Unterrichtsmaterialien im Homeschooling erledigen, während die Erst- bis Viertklässler wieder ganz im Klassenzimmer sitzen dürfen.

„Versuchskaninchen der Landesregierung“

Indes schlägt die Gewerkschaft Erziehung und Wissenschaft (GEW) Alarm. Die Lehrer würden sich wie „Versuchskaninchen der Landesregierung“ fühlen, sagte die GEW-Vorsitzende  Doro Moritz. Es würden klare Zusagen fehlen, welche Schutzmaßnahmen für Schüler und Lehrer zur Verfügung stünden. Moritz fordert Schutzmasken für alle Lehrer.

Risikogruppe Lehrer

Seit Einführung der Attestpflicht würden laut Eisenmann wieder mehr Lehrer am Präsenzunterricht teilnehmen, so dass sie guter Dinge sei, dass ab September ausreichend Lehrer für den Präsenzunterricht zur Verfügung stehen. Vorher hatten sich rund 20 Prozent zur Risikogruppe gezählt und hielten keinen Präsenzunterricht ab.

Es könne, so Eisenmann aber immer wieder auch ab September zu temporären Schulschließungen kommen, je nachdem, wo das Virus gerate wütet. Daher gelte es, verbindliche Richt- und Leitlinien das Homeschooling betreffend auszuarbeiten.




Jeder fünfte Lehrer wird seinen Dienst heute nicht im Klassenzimmer antreten können

Ab heute startet einen Großteil der Schüler wieder in den Unterricht im Klassenzimmer. Die Schulen unterrichten wegen dem gebotenen Kontaktabstand  die Kinder in kleinen Klassengrößen. Dies bedeutet ein Verwaltungsaufwand, der nicht zu unterschätzen ist. Des Weiteren werden heute laut dem baden-württembergischen Kultusministerium rund 20 Prozent der Lehrkräfte nicht ihren Dienst an den Klassenzimmern antreten können.

Regionale Unterschiede

„Das Kultusministerium geht davon aus, dass etwa 25 Prozent der Lehrkräfte zu Risikogruppen gehören“, erklärt Benedikt Reinhard gegenüber GSCHWÄTZ auf Nachfrage. Aus der Risikogruppe der Lehrkräfte im Alter von über 60 Jahren und der Lehrkräfte, die in häuslicher Gemeinschaft mit Personen aus einer Risikogruppe leben, habe sich jedoch ein beträchtlicher Teil bereit erklärt, in der Präsenz zu unterrichten. „Deswegen stehen im landesweiten Durchschnitt rund 80 Prozent der Lehrkräfte für Präsenzangebote an den Schulen vor Ort zur Verfügung. In einzelnen Schularten sowie regional stellt sich dies allerdings unterschiedlich dar.“

Wer zählt als Risikogruppe?

„Das Kultusministerium orientiert sich bei der Einstufung als Risikogruppe an den Vorgaben des Robert-Koch-Instituts und der Landesgesundheitsbehörden. Zu den Risikogruppen gehören deswegen aktuell schwangere Lehrkräfte, Personen mit relevanten Vorerkrankungen sowie Personen über 60 Jahre. Aktuell zeigen Lehrer die Zugehörigkeit zu einer Risikogruppe beziehungsweise dass sie nicht in Präsenz arbeiten können mit einem entsprechenden Formblatt gegenüber ihrer Schulleitung an http://(https://km-bw.de/site/pbs-bw-km-root/get/documents_E1445697780/KULTUS.Dachmandant/KULTUS/KM-Homepage/Pressemitteilungen/Pressemitteilungen%202020/2020%2004%2020%20Anlage%20Formblatt%20Risikogruppen.pdf).

Von der Präsenzpflicht befreit

Dann sind die Lehrer von der Präsenzpflicht befreit und kommen ihren dienstlichen Aufgaben laut Reinhard von zu Hause aus nach. „Da Lehrkräfte in der öffentlichen Diskussion allerdings unter Druck geraten und auch das Robert-Koch-Institut von einer generellen Einstufung in Risikogruppen zu einer individuellen Risikoabschätzung übergegangen ist, plant das Kultusministerium in Abhängigkeit von der Entscheidung auf der Ebene der Kultusministerkonferenz spätestens nach den Sommerferien eine Attestpflicht für Lehrkräfte, auch um diesen den Druck aus der öffentlichen Diskussion zu nehmen“, führt Benedikt Reinhard näher aus.

„Kommen ihren Aufgaben vollumfänglich zu Hause nach“

„Die Lehrer, die von der Präsenzpflicht befreit sind, befinden sich weiterhin im Dienst und kommen diesem vollumfänglich von zu Hause aus nach und betreuen dabei unter anderem die Schüler im Fernunterricht“, erklärt Reinhard. „Deswegen gibt es bei Lehrkräften auch keine Kurzarbeit.“

Grundschulen sollen im Juli wieder voll öffnen

„Kultusministerin Dr. Susanne Eisenmann hat bereits angekündigt, dass die Kindertageseinrichtungen und die Grundschulen aufgrund erster Erkenntnisse einer Studie, die die Landesregierung bei der Universitätskinderklinik Heidelberg in Auftrag gegeben hat, Ende Juni wieder vollständig geöffnet werden sollen. Die Erkenntnisse aus der Studie legen nahe, dass Kinder bis zehn Jahre als Überträger eine untergeordnete Rolle spielen. Somit kann in dieser Altersgruppe auf die Abstandsgebote verzichtet werden, so dass ein Unterricht und eine Betreuung aller Schüler möglich wird“, erklärt Benedikt Reinhard.

Corona-Super-Spreader: Keine Rückschlüsse bei Kindern ab 11 Jahren

„Da sich für ältere Kinder aus der Studie der Universitätskinderklinik in Heidelberg keine Rückschlüsse ziehen lassen, wird ein Betrieb nach aktuellem Stand bis zum Ende des Schuljahres nur unter Einhaltung des Abstandsgebotes von 1,5 Metern möglich sein. Das gibt einen Wechsel von Präsenz- und Fernunterricht vor, der im Wochenrhythmus in einem rollierenden System angeboten werden soll.“

Dem Kultusministerium sei bewusst, so Reinhard, „dass die aktuelle Situation für Familien eine große Herausforderung darstellt. Insbesondere müssen Eltern aktuell eine Doppelbelastung aus Erwerbsarbeit und Kinderbetreuung schultern.“

Für den Umgang mit der aktuellen Situation sei es ratsam, den direkten Kontakt zur Schule beziehungsweise zu den Lehrkräften zu suchen und mit ihnen darüber zu sprechen, was die Familien in der aktuellen Situation leisten können oder eben nicht. Das ermöglicht es, das schulische Arbeitspensum auf die Möglichkeiten der Familie und Bedürfnisse der Kinder abzustimmen.